Адрес для входа в РФ: moffler.xyz

Врачам в США удалось победить рак четвертой стадии

23.10.2019 17:04  43377   Комментарии (92)

Ничего себе! Ссылаются на BBC. 

В рамках новой терапии в кровь женщины ввели 90 млрд иммунных клеток.

Два года назад врачи сказали Джуди Перкинс из Флориды, что ей осталось жить три месяца. Сегодня в ее теле нет и следа раковой опухоли.

Команда ученых из Национального университета рака в США говорит, что такая терапия все еще является экспериментальной, но со временем может стать методом лечения всех видов рака.

У Джуди был рак груди на терминальной стадии — он быстро распространялся и не подлежал общепринятому лечению.

В ее печени были опухоли размером с теннисный мяч, метастазы распространились по всему телу.

О своем опыте экспериментального лечения она рассказала журналистам: «Примерно через неделю после начала терапии я начала что-то чувствовать. В моей груди была опухоль, и я чувствовала, как она сжимается. Еще в одну-две недели она совсем исчезла».

Она вспоминает также первую томограмму после процедуры — все медперсонал «был очень взволнован и даже подпрыгивал».

Тогда же ей сообщили, что она полностью здорова.

Сейчас Джуди ходит в походы и плавает на каяках, а недавно в течение пяти недель путешествовала по родному штату.

Ну и там дальше в статье подробно объясняется, что это за терапия такая.

Да, это пока только один пациент, там еще предстоит масса исследований, но вообще история крайне важная!

Комментарии 92

Много читала информации об этой болезни и наткнулась на статью про 8 нетипичных признаков рака груди. Мне показалось об этом должна знать каждая женщина так как рак груди вроде самый распространенный.
21.07.20 08:35
0 0

Ну вообще-то слабо верится что вот так все просто, взяли, да и победили рак. Который, и у этой женщины может еще вернуться. Поскольку заболевание это действительно не в последнюю очередь иммунное, а стал ли собственный иммунитет от этого лучше, еще вопрос.
Да и что это вообще не газетная утка из серии про британских ученых.
Потом же умиляет это перманентное задротство по успеху всего заграничного. А про РФ Алексу хватает запал писать только про распилы и откаты. Хотя можно было бы найти и увидеть недавно новость, как краснодарские врачи взялись за лечение девочки с маской Бэтмена, за которую не стали браться их американские коллеги.
MEH
25.10.19 06:06
2 0

forum daily перепечатал старую новость (от июня 2018 года) из bbc, а alex exler сослался на forum dily. Спрашивается, почему ? Что случилось в октябре 2019 такого, что заставило вспомнить сейчас об этой публикации из bbc?
24.10.19 09:11
3 0

Видимо то, что она мне попалась на глаза? У вас есть какие-то другие предположения кроме теории мирового заговора и идеи о том, что Экслера купило BBC на корню?
24.10.19 22:07
0 1

Идет еврей по дороге. Подбегает здоровенный детина, бьет его.
- За что?
- Вы нашего Христа распяли!
- Так это две тысячи лет назад было!
- А я только вчера узнал!


Если серьезно, Алекс кагбэ не новостное агентство.
24.10.19 13:45
0 4

Новость от июня 2018 года с украинского BBC, о которой больше НИКТО НИГДЕ не сказал? Вы серьезно? Таких новостей дюжина ежегодно выходит и в более серьезных изданиях и что-то пока глухо.
24.10.19 07:44
4 1

Что интересно, к тому времени, когда вы это написали, ЗДЕСЬ уже давно привели ссылки и на оригинальный BBC и на Nature.
24.10.19 19:23
0 0

еще подумалось... Такие терапии можно сейчас предлагать только людям, для которых не сработали стандартные методы -- т.е. операции и химия. С позиции здорового человека -- "борись до конца и пробуй все" . Обычно к 4-й стадии пациентам настолько все осточертело, что даже если их родственики (или они лично) достаточно богаты, чтобы оплатить новый метод лечения (вероятность успеха которого дай бог 10%) выбор будет "дайте спокойно помереть". Так, по крайней мере, было с моей маман. Транспортировка, новые врачи, полуподпольность всего этого >>. А ты только после химии, тебе хочется, чтоб это все закончилось. Мадам, которую вылечили, явно была борец. Плавание на каяках, стремление к излечению и пр. Таких не так много.
23.10.19 22:34
0 2

Себя-то проверили на BRCA мутации?
24.10.19 01:16
0 0

еще надо поправить: мадам не БЫЛА борец, а ЕСТь борец.
23.10.19 23:40
0 0

ППКС.
PS У меня тоже мама от РМЖ запущенного умерла. Делал, как мог, но.
23.10.19 23:09
0 1

В Wired недавно была большая статья про то, как всё начиналось: www.wired.com
23.10.19 21:10
0 1

Иммунная терапия в лечении рака применяется достаточно давно и достаточно успешно, но к великому сожалению прорыва в этой области добиться так и не удалось, по крайней мере пока. Причем исследования в этой области проводятся и в России, например в МКНЦ им Логинова. В 2018 году Нобелевскую премию по медицине вручили Эллисону и Хондзе, которые 2012 году опубликовали результаты испытаний метода иммунотерапии на почти трех сотнях пациентов, больных разными типами рака. Но к великому сожалению воз и поныне там. Причем, что интересно иммунные методы или, как иногда говорят, вакцина от рака дает наибольшие результаты именно в Японии. А причиной этого то, что японцы обладают очень однородным генотипом. Их иногда называют идеальной нацией для трансплантации органов, поскольку там очень легко подобрать пару донор-реципиент. А в остальных странах подобного однообразия даже близко не наблюдается.
23.10.19 21:08
0 1

У меня бывший шеф в тяжелое время поддерживал рисеч в лабе за счет денег от лицензирования технологии.
23.10.19 23:54
0 0

И чего плохого в получении денег?
В целом норм, конечно. Лучше, чем на полную туфту или роттенбергам.
23.10.19 23:41
0 0

чекпойнт ингибиторы - это только малая толика иммунотерапии
Это как раз то, что товарищ приводит в качестве примера отсутствия прогресса. Нобелевку 2018 в медицине дали за чекпоинты.
23.10.19 23:38
0 1

чекпойнт ингибиторы - это только малая толика иммунотерапии
23.10.19 23:10
0 0

На животных - где-то вторая половина 90х. Антитела для клиники вышли еще через 10 лет.
На свой белок конечно: агонисты, блокаторы, трансгены, нокауты. А если действительно хорошая мишень для терапии, то хрен не попробовать? И чего плохого в получении денег? Чем их больше, тем больше можно сделать. В том числе и то, что иначе не профинансируют.
23.10.19 23:00
0 0

больше тысячи клинических испытаний чекпоинт ингибиторов
чекпойнты и их ингибиторы, вроде, были "модными" лет 20 назад? хотя, в моем университете до сих пор на киназы ингибиторы сканируют. Не уверен, что это люди они сами верят в успех. Просто положено на свой белок искать ингибитор. Люди эти обычно... мнэ.... не самые интересныe собеседники за науку. Весь мозг сфокусирован на том, какой бы компании продаться, и на какую бы конференцию поехать. Загар у них всегда отличный. Вот кто реальные отмывaтeли грантов, а не несчастные климатологи 😄
23.10.19 22:43
0 0

В 2018 году Нобелевскую премию по медицине вручили Эллисону и Хондзе, которые 2012 году опубликовали результаты испытаний метода иммунотерапии на почти трех сотнях пациентов, больных разными типами рака. Но к великому сожалению воз и поныне там.
Сейчас, ЕМНИП, больше тысячи клинических испытаний чекпоинт ингибиторов.
23.10.19 22:00
0 0

За ДВЕ недели исчезла опухоль величиной с теннисный мяч???
23.10.19 20:48
0 3

судя по графику, за шесть недель полностью исчезли только самые маленькие (около двух см), большие исчезали дольше от 18 до 48 недель
23.10.19 21:14
0 0

Нобелевка?
23.10.19 20:45
0 0

Нобелевку дают за фундаменталку, а здесь ее нет. Есть блестяще выполненная прикладная работа.
23.10.19 20:51
0 3

Слушайте, а вот это может кто-нибудь знающий прокомментировать? ria.ru
23.10.19 20:41
0 0

Аналогично, шеф! 😉 Каф. вирусологии
24.10.19 17:05
0 0

биоФ
23.10.19 23:42
0 0

Слушай, так мы еще и альма матерь одну имеем? Ты что кончал?
23.10.19 23:12
0 0

"заявил первый заместитель директора Научно-образовательного центра прикладной медицины и пищевой безопасности МГУ им. М.В. Ломоносова Дмитрий Еделев."

Очень жалко, что лабы и институты в "моем" универе переходит под управление таких челов. Ну, они и дочку Сказочного на мехмате защитили уже, все даунхилл.
23.10.19 22:29
0 0

Ну это уже журналисты переврали. Дальше приводится точная цитата: "Институт рака Всемирной организации здравоохранения экспериментальным путем установил, что 37%, то есть каждый третий рак, который возникает у человека, потребляющего такие продукты, связан с глицидолом".
23.10.19 20:56
0 0

"Глицидиловые эфиры, которые содержатся в техническом пальмовом масле, являются причиной 37% случаев онкозаболеваний.."
Вот это - тяжелый бред, дальше не читал. И вообще, ну еще один канцероген, допустим, мало их уже есть, что ли. В общем, ни о чем.
23.10.19 20:44
1 4

Потрясающе!
Даже если спасать будут 10% с четверкой, это уже победа.
А опухоль с теннисный мяч, это хреново... У меня 2/3 левой почки была опухоль, до метастаз не дошло вроде как, но почку удалили. И это на стадии 2+, а тут четверка...
23.10.19 20:39
0 3

Я прекрасно это понимаю, уж поверьте 😄
23.10.19 20:50
0 0

Размер опухоли сам по себе с ее метастазированием напрямую не связан, и четвертая стадия - это не только размер самой опухоли. Но поражение у пациентки было тяжелейшее, да.
23.10.19 20:45
0 1

Тренировать лейкоциты, их наращивать, и всаживать обратно, уже давно пытаются. В каких-то (редких) случаях это срабатывает действительно. В России это тоже делают... полуподпольно. Называть имен тут не буду, но были выходы, когда моя маман помирала от 4 стадии. Oна не согласилась (ну, и мозг ей промыли всякими там народными терапиями). и меня самого поразило, насколько это все на грани нелегала.

Дело муторное, так как надо собирать образцы опухолей у пациентA, читать мутации и заниматься этим в ручном режиме на полную ставку. Представьте стоимость исследований в лабе в год... в моей это тысяч 120 (зарплаты+реагенты), и это считается очень дешево. Так что, это есс-сно стоит больших денег, без гарантии ничего. В случае с этой пациенткой ей повезло, что именно она попала на это исследование (и ей это ничего не стоило), и что именно ее рак оказался подверженным лечению. У каждого пациента рак отличается на генетическом уровне, и неясно, будет работать или нет.

Была статьия и про лечение СПИДа цинк-пальцевыми нуклеазами. Ну да, получилось, но 10 лет спустя никто в ручном режиме цинк-пальцевыми нуклеазами СПИД не лечит. Надеюсь, этот случай будет другим. Может, как-то автоматизировать получится скриннинг и пр. Приставлять целую лабу к каждому раковому пациенту не получится.
23.10.19 19:32
0 1

Была статьия и про лечение СПИДа цинк-пальцевыми нуклеазами. Ну да, получилось, но 10 лет спустя никто в ручном режиме цинк-пальцевыми нуклеазами СПИД не лечит. Н
Вы ведь ВИЧ имели ввиду? Такие статьи в год по 10 штук выходит. Весь смысл "Есть идея-дайте денег". Единственный подтвержденный способ излечения от ВИЧ на данный момент-пересадка костного мозга от реципиента, который НЕ МОЖЕТ ЗАБОЛЕТЬ ВИЧ. Таких людей, годных в реципиенты, на планете около 1%. А успешных случая зафиксировано 2. Берлинский пациент и лондонский пациент
Все остальное-эксперименты на мышах и в пробирке и практической перспективы не имеют.
Den
24.10.19 13:33
0 0

Здесь же основные деньги не сиквенс опухоли, а возня с выделением, дизайном, наращиванием, сортингом и прочим различных специфических лимфоцитов, вот это вот все.
ППКС.
23.10.19 22:25
0 0

А это тонкая ручная работа, которая плохо поддается автоматизации в отличие от сиквенса, и требует очень нехило оснащенных лабораторий и безумно квалифицированных людей.
Это так.
23.10.19 22:12
0 0

Ты грамотно все изложил, поддерживаю. Лично для меня удивительно, что TIL`s удалось эффективно сделать против такого количества пептидов. Думал, опухоль малогетерогенная, но в статье указано, что соматических мутаций 62, что выше среднего по ER+HER2- ракам груди. Правда, они еще и анти-PD1 терапию проводили.
В общем, то, что так получилось, скорее надо рассматривать как большое везение пациента. Разумеется, они молодцы, и без такой персонализированной иммуной терапии ничего бы не вышло. Но насколько это воспроизводимо - большой вопрос.
И сильно дешевле в ближайшие годы это не станет. Здесь же основные деньги не сиквенс опухоли, а возня с выделением, дизайном, наращиванием, сортингом и прочим различных специфических лимфоцитов, вот это вот все. А это тонкая ручная работа, которая плохо поддается автоматизации в отличие от сиквенса, и требует очень нехило оснащенных лабораторий и безумно квалифицированных людей.
23.10.19 20:32
0 2

Анализ-то наверняка подешевеет, но как можно сделать дешевой работу с клетками пациента, я с трудом себе представляю. С другой стороны, она может оставаться дорогой, даже очень - с учетом того, что счастливчиков будет меньшинство, опцию относительно недорогого анализа для всех и страховая медицина может потянуть, и даже сами пациенты. Со временем.
23.10.19 20:20
0 0

Может, как-то автоматизировать получится скриннинг и пр
Собственно, на это основные надежды. То есть базовая разработка всегда стоит космических денег. Но как только разработаны массовые методы (аналог массового производства) - стоимость падает радикально. Может научат нейросети какие-нибудь делать анализ в автоматическом режиме. То же секвенирование ДНК подешевело за последние десятилетия в сотни (если не в тысячи) раз. Может и здесь удастся что-то подобное.
23.10.19 20:09
0 1

Пациентке сильно повезло, что при таком количестве мутаций (типичном для такого рака на такой стадии) оказалось так много иммуногенных неопептидов. В большинстве случаев это, к сожалению, не так. Но конкретный кейс безмерно впечатляет - и результат, и технология. То, что успели сделать, как и с какой скоростью (чтобы пациентка успела дожить до лечения) - это совершенно космический уровень.
23.10.19 19:28
0 7

У нее еще даже больше соматических было, чем обычно. Вот с этой иммункой всегда так - она то как волшебная палочка работает, то ноль на массу.
23.10.19 20:36
0 0

это совершенно космический уровень.
хорошая аналогия с космическим исследованием 😄й. Все равно, что ее на луну запустили и вернули. Не означает, что сотни миллионов людей тепеть можно запускать и возвращать.
23.10.19 19:36
0 0

Алекс, перепост верхней красивой картинки не имеет никакого смысла. Она изображает эритроциты, которые ни к сабжевому заболеванию, ни к его лечению отношения не имеют. Лучше взять картинку или видео флуоресцентной микроскопии на тему «T lymphocytes killing tumor cells». Их наснимали навалом, потому как они производят впечатление на инвесторов.
23.10.19 19:27
0 4

Да ну, большинство народу здесь просто набор пятен увидят. Лучше вот эту, где графики объема всего в ноль уходят.
23.10.19 20:39
0 0

Охренеть, да. Фантастика.
23.10.19 19:53
0 1

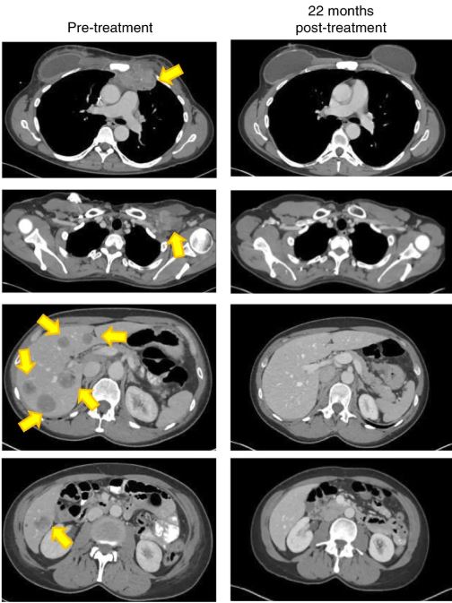
Предлагаю фрагмент рисунка 2d из оригинальной статьи. Даже впервые видящим томограмму будет очевидно, что все отмеченные желтыми стрелками посторонние включения исчезли.
23.10.19 19:33
0 8

Кстати, да. Картинка - совсем не в тему.
23.10.19 19:29
0 1

История не совсем свежая, но и не совсем старая (2015-2018) Ссылка на статью в Натуре:

www.nature.com

Ссылка на интервью с пациенткой:

www.cancerresearch.org
23.10.19 19:27
0 1

Алекс, не читал «Царь всех болезней. Биография рака»? Там очень интересно рассказано, как учились лечить рак и какие проблемы при этом возникают. За книжку кстати Пулитцеровскую премию дали
23.10.19 18:14
0 1

Та лааааадно там, вона, в Роисси всё проще.
23.10.19 18:05
10 6

И как тогда утилизировать излишних человеков? Всего ж на всех не хватит, потому что всех много (а так будет еще больше) а всего мало. Третья мировая приблизится.
23.10.19 17:36
17 0

поверхностное чтение показывает причиной перенаселенность страны и вытекающий из нее недостаток ресурсов для быстро растущего населения.
Если даже считать, что это причина, а не повод, это показывает только, что Руанда еще не вышла из восемнадцатого века. (На самом деле - даже из восьмого).
23.10.19 23:06
0 0

Руанда-1994? Геноцид одной этнической группы другой? И причем здесь Мальтус?
Не могу сказать что глубоко копал истоки того конфликта, но поверхностное чтение показывает причиной перенаселенность страны и вытекающий из нее недостаток ресурсов для быстро растущего населения. В таких условиях абсолютно логично выглядит решение более сильного племени физически истребить более слабое. Меньше народа - больше кислорода, так гласит народная мудрость.
23.10.19 22:37
1 0

Ну так если продолжительность и качество жизни возрастут, то почему бы и не?
Люди, которые это придумали, работают же. Стиву Розенбергу лет 80, Джиму Аллисону лет 70.
23.10.19 22:06
0 0

Тогда придется поднимать пенсионный возраст до 80.
23.10.19 21:25
0 0

При 5-7 детях на женщину это не проблема.
23.10.19 21:24
0 0

Это был стеб, не надо так жестко агриться.Но раз уж ты так серьезен, то напомню что Руанда 1994 года считается примером мальтузианской ловушки.
Руанда-1994? Геноцид одной этнической группы другой? И причем здесь Мальтус?
23.10.19 20:58
0 0

Это был стеб, не надо так жестко агриться.
Но раз уж ты так серьезен, то напомню что Руанда 1994 года считается примером мальтузианской ловушки.
23.10.19 19:56
0 0

Наоборот. Развивающимся живется легче, если развитые живы, здоровы и работают.
23.10.19 19:55
0 1

иммунотерапии рака за поллимона долларов и не будет.
ни в каких странах не будет... только если Мердок какой-нить. Тогда с него надо брать в 100 раз больше и 99 обычных плебеев лечить >>> profit
23.10.19 19:42
0 0

Ну так в развивающихся странах никакой таргетной иммунотерапии рака за поллимона долларов и не будет.
23.10.19 19:11
0 2

Если в развитых странах люди резко перестанут умирать, им будет не до того, чтобы продолжать строить школы в развивающихся.
23.10.19 18:55
0 0

Не будет никаких лишних человеков, всё это уже давно разжёвано. Как только в стране становится доступно образование, особенно для женщин - сразу резко падает рождаемость, причём в развивающихся странах этот процесс идёт быстрее, чем в своё время шёл в развитых.
23.10.19 18:46
0 8

*в тренде
23.10.19 18:39
0 0

Чувак, мальтузианство было в треде в XVIII веке, а нынче малость подустарело.
23.10.19 18:20
0 6

Стив Розенберг какой-то вечный. Рейгана лечил в свое время от рака. Я еще студентом читал его статьи, потом уже в Штатах несколько раз слушал его на разных конференциях и думал, что он в лучшем случае на пенсии. А он во как. Молодец мужик.
23.10.19 17:35
0 3

Опять напизд#ли. Знаем мы такие истории. Потом на этой волне чтото впаривать будут.
23.10.19 17:34
17 1

не удивлюсь, если в не слишком развитых странах (оставим их неназванными) будут действительно впаривать херню под видом иммунотерапии. Типа, задешево "для вас" дискаунт -- всего лишь 50 штук вместо 500! У той клиники, думаю, отбоя от богатых пациентов нет, интересно, как разруливают.
23.10.19 19:49
0 0

Ты от общей доброты душевной не совсем разумные вещи говоришь. Больным в такой стадии ничего «впаривать» не надо. Напротив, они (или их родственники) готовы отдать любые деньги за лечение (и часто отдают за шарлатанство). Но им, увы, нечего пока предложить.
Да, это очень дорогое лечение, требующее хорошего оборудования и квалифицированного персонала. Не удивлюсь, если курс будет стоить полмиллиона. Но люди переживут подъем страховки, если у них, когда придет их очередь, будет такая возможность.
23.10.19 18:23
0 1

Лох не мамонт, лох не вымрет. Прикинь, некоторые даже верят, что телега может без лошади ехать!
23.10.19 18:18
0 7

Ещё в 2010м были похожие результаты на одном пациенте с использованием иммунотерапии. Потом правда, у последующих были как успешные результаты, так и наоборот, когда терапия убивала пациента. Но все равно есть продвижения в этом вопросе. Не зря же нобелевку за это дали. Другое дело, что cure for cancer не будет никогда. Слишком разные причины и поведение у разных видов рака.
23.10.19 17:24
0 2

Угу. Я скорее поверю в то, что какой-нибудь вирусный литический агент будет более "всеобщим".
23.10.19 20:41
0 0

Под "всей процедурой" я как раз и имел в виду выращивание лимфоцитов, отбор тех, что реагируют против предсказанных мутантных пептидов и т.д. Но принципиальная проблема не в стоимости, а в том, что для большинства пациентов или сиквенс опухоли, или типирование на HLA, или иммуногистохимия на PD-L1 покажут, что такое лечение не поможет. Какой бы дешевой ни сделали технологию, ни на что близкое к 95% рассчитывать не следует.
23.10.19 20:35
1 1

своя генетика в комбинации с уникальным для его личной опухоли набором мутаций. Поэтому и ответ на лечение будет индивидуальным, и всю процедуру нужно будет проводить заново.
Сделать секвенс и определить, какой именно "личный" набор мутаций присутствует в данной опухоли, сейчас уже не проблема. Это дело нескольких часов и сотен долларов. Задача - поставить на поток выращивание лимфоцитов с заданными свойствами, чтобы это можно было делать быстро и сравнительно недорого.
23.10.19 20:27
0 1

Все сложнее, у каждого пациента - своя генетика в комбинации с уникальным для его личной опухоли набором мутаций. Поэтому и ответ на лечение будет индивидуальным, и всю процедуру нужно будет проводить заново. И большинство кандидатов будут отпадать на предварительной стадии - по иммуногенетическому анализу будет понятно, что такое лечение им не поможет или даже повредит. Так что речь о 95% не идет даже близко, скорее о каком-то количестве счастливчиков, для которых раньше не было надежды, а теперь появится. Это - тоже победа, которая вызывает восхищение.
23.10.19 20:15
0 0

Слишком разные причины и поведение у разных видов рака.
Да и хрен с ними, со всеми видами рака. Победят 95% самых распространенных - уже дело.
23.10.19 18:22
0 9

Ссылка на BBC из статьи ведет, почему-то, на украинский сегмент сайта BBC. Причем ссылка на статью от июня 2018 года.
На английском BBC, к сожалению, ничего подобного нет. Ни по тегу health, ни по поиску по слову "cancer". Ни в июне этого года, ни в июне прошлого.
23.10.19 17:18
0 0

Да, пока я писал комментарий, вы уже нашли ссылку, спасибо.

По имени пациентки удалось найти там. В моей ветке комментов есть ссылки.

Ссылка дана на самостийно-нэзалэжный би-би-си. При этом на натуральном мне эту новость найти не удалось пока.

у Джуди Перкинс с этим более чем нормально
Да. Борец тетка.
23.10.19 22:46
0 0

Человек с тяжелой аутоиммункой не плавает на каяке и не мотается по пресс-конференциям.
Это сильно зависит от его психоэмоциональных качеств, то есть силы духа, если по-простому. Вся эта история мне смутно намекает на то, что у Джуди Перкинс с этим более чем нормально.
23.10.19 20:43
0 1

Лечение лимфоцитами было супер-прицельным, против мутантных пептидов, которые есть в раковых клетках и отсутствуют в нормальных. Блокаторы чекпойнтов - да, запросто могут давать аутоиммунку, и в статье я не нашел информации о побочных эффектах, что немного напрягает. Но с другой стороны, пациентка - публичная персона, ведущая активную жизнь. Человек с тяжелой аутоиммункой не плавает на каяке и не мотается по пресс-конференциям.
23.10.19 20:06
0 0

А пачку автоимунных заболеваний в придачу? и мультиорганные повреждения.
Безусловно лучше чем смерть через несколько месяцев, но не всё так просто.
23.10.19 19:15
0 0

Ну если так - хвала всем богам, какие только есть.
23.10.19 17:21
0 0

В принципе и на нашем залэжном есть статья... а там уже и дальше ссылаются.
Теги
Сортировать по алфавиту или записям
BLM 21
Calella 147
exler.ru 313
авто 477
видео 4326
вино 363